6 lessons + 1 free (6h 16min)
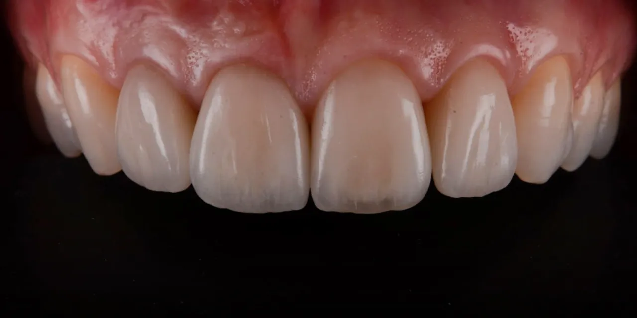
Explore Dr. Giacomo Armani’s interdisciplinary approach to ceramic veneers — Solutions for everyday aesthetic cases!
Within the course, you will learn in detail about:
– The ortho-prostho approach to ceramic veneers
– The perio-prostho approach to ceramic veneers
– Guided and vertical preparation techniques
– Adhesive protocols and bonding of ceramic veneers.
Achieve aesthetic, functional, and long-lasting ceramic veneers with the interdisciplinary approach. This course will significantly enhance the patients’ appreciation of your work!
The OHI‑S Ceramic Veneers: Interdisciplinary Approach and Updated Protocols course is best for prosthodontists, restorative dentists, orthodontists, and dental technicians who want structured, training in modern veneer workflows that integrate multiple disciplines. It emphasizes updated preparation and bonding protocols, digital smile design, and interdisciplinary collaboration to achieve predictable, aesthetic, and functional outcomes.
Who Should Enroll
Prosthodontists managing complex aesthetic and functional rehabilitations with veneers.
Restorative dentists & general practitioners performing veneers who want predictable, minimally invasive results.
Orthodontists collaborating in interdisciplinary cases where tooth alignment supports veneer outcomes.
Dental technicians & ceramists fabricating veneers and working closely with clinicians on design and layering.
Residents & fellows in prosthodontics, restorative dentistry, or orthodontics seeking advanced veneer and interdisciplinary training.
What You’ll Learn
Updated veneer protocols: minimally invasive preparation, adhesive workflows, and cementation techniques.
Interdisciplinary integration: combining veneers with orthodontics, periodontics, and prosthodontics for comprehensive care.
Digital smile design: planning and visualizing aesthetic outcomes before treatment.
Material selection: choosing the right ceramic (feldspathic, lithium disilicate, etc.) for each case.
Case‑based lessons: clinical demonstrations of interdisciplinary veneer treatments.
+ Topics:
Lesson 1.Clinical protocols of the first appointment. Diagnosis and treatment planning
– Key points to consider when determining the chief complaint of the patient
– Patient-dentist communication and the patient’s expectations
– Protocols of the first appointment and dental photography
– Diagnostic protocols and periodontal evaluation. Perio chart, perio classification
– Analysis of X-rays and CBCT
– Techniques for recording of the centric relation
– The functional aspects of veneers restoration:
– centric occlusion
– centric relation
– vertical dimension of occlusion (VDO)
– application of deprogramming devices.
– Dentist-lab communication
– Wax-up and mock-up
– Protocols of digital intraoral scanning
– DSD protocols using smilecloud software
– Analysis of clinical cases.
Recommended for: Prosthodontists, General dentists.
Lesson 2.The Ortho-Prostho Approach to Ceramic Veneers. Introductory lesson
– The idea behind minimal invasiveness ceramic veneers
– Indications to the ortho-prostho approach
– Orthodontic considerations prior to ceramic veneer rehabilitation. Analysis of clinical cases
– Step-by-step analysis of the ortho-prostho approach in clinical cases
– Functional evaluation prior to ceramic veneers
– Aesthetic evaluation prior to ceramic veneers.
Recommended for: Prosthodontists, General dentists.
Lesson 3.The Ortho-Prostho Approach to Ceramic Veneers
– The idea behind minimal invasiveness ceramic veneers
– Indications to the ortho-prostho approach
– Orthodontic considerations prior to ceramic veneer rehabilitation. Analysis of clinical cases
– Step-by-step analysis of the ortho-prostho approach in clinical cases
– Functional evaluation prior to ceramic veneers
– Aesthetic evaluation prior to ceramic veneers
– Analysis of clinical cases.
Recommended for: Prosthodontists, General dentists.
Lesson 4.The Perio-Prostho Approach to Ceramic Veneers
– Diagnosis and evaluation of gummy smile. The optimal ratio between pink aesthetic and white aesthetic
– Protocols and techniques of aesthetic crown lengthening
– Protocols of guided mucogingival surgery for crown lengthening
– Zenith correction and soft tissue evaluation
– Step-by-step clinical demonstration of the perio-prostho approach to ceramic veneer restorations
– The ortho-perio-prostho approach to ceramic veneers
– Analysis of clinical cases from A to Z.
Recommended for: Prosthodontists, General dentists.
Lesson 5.Simulation of the Final Veneer Restoration. DSD, Mock-up and Provisional Veneers
– Protocols of digital wax-up and mock-up
– DSD protocols for planning ceramic veneer rehabilitation;
– Protocols of analogue wax-up and mock-up
– Functional loading test using mock-up
– Mock-up technique using a silicon index key
– Clinical steps of manufacturing of provisional veneers
– Analysis of clinical cases.
Recommended for: Prosthodontists, General dentists.
Lesson 6.Different Preparation Techniques for Ceramic Veneer Restoration
– The anatomical limit when preparing for ceramic veneers
– Preparation guide for functional and aesthetic veneers
– Biological width and its role in the longevity of veneers
– Preparation protocols of the incisal edge and cervical margin
– Cervical preparation: subgingival margin, epi-gingival margin, and supragingival margin
– Step-by-step demonstration of guided preparation technique using mock-up and silicon index key
– Finish line preparation: Modified Chamfer, chamfer, and no finish line
– Vertical preparation techniques: indication, advantages, and protocols
– Application of the retraction cord and impression taking protocols: one-stage and two-stage technique
– Techniques for intermaxillary relation recording
– Analysis of clinical cases.
Recommended for: Prosthodontists, General dentists.
Lesson 7.Adhesive Protocols on Delivery Day from A to Z
– The try-in paste. Selection of the correct shade of cement
– Protocols of rubberdam isolation
– Classification of rubberdam clamps: anchor and soft tissue clamps
– Protocols for pretreatment of the inner surface of the veneer
– Step-by-step demonstration of bonding of ceramic veneers
– Follow-up appointments and occlusal check
– Review of clinical cases.
Recommended for: Prosthodontists, General dentists.





Reviews
There are no reviews yet.